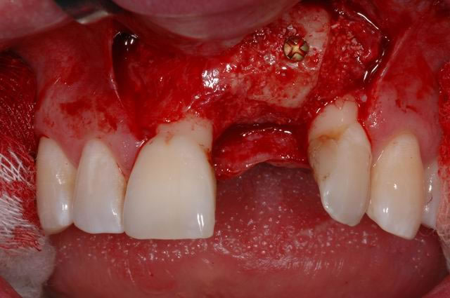
Einsetzen des Implantats/DSC_4251.JPG

Zurück | Anfang | Vor