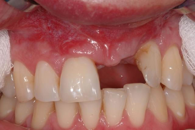
Einsetzen des Implantats/DSC_4247.JPG

Zurück | Anfang | Vor